A Stereological Study of the Three Types of Ganglia of Male, Female, and Undifferentiated Scrobicularia plana (Bivalvia)
Abstract
Simple Summary
Abstract
1. Introduction
2. Materials and Methods
2.1. Animals and Histological Procedures
2.2. Stereological Analysis
2.3. Statistical Analysis
3. Results
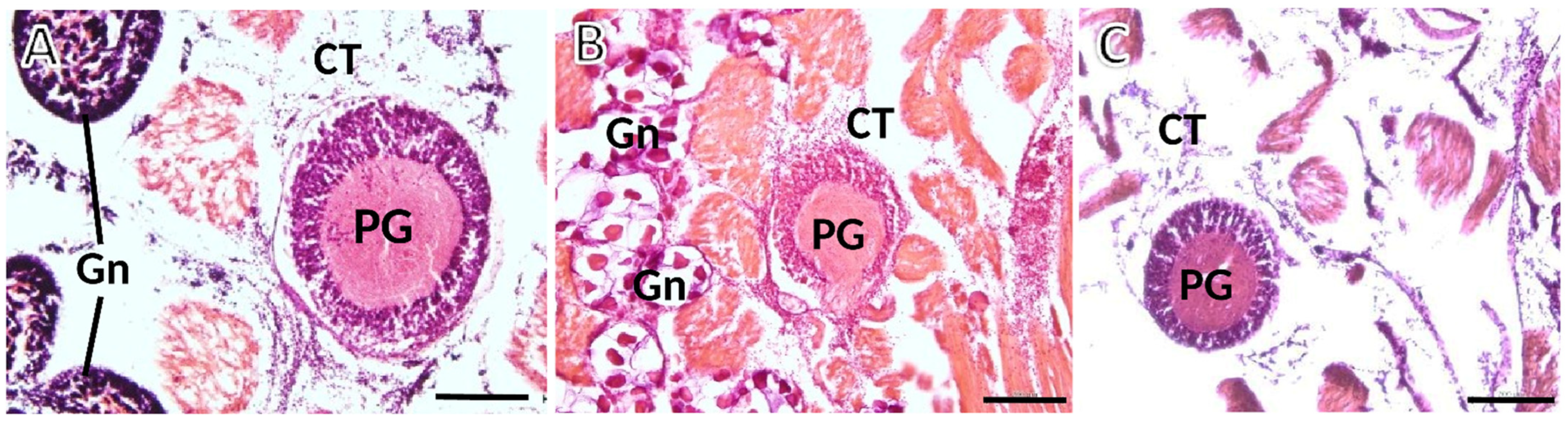
3.1. Qualitative Histological Observations
3.2. Quantitative Data—Body Morphometry
3.3. Quantitative Data—Total and Relative Volumes
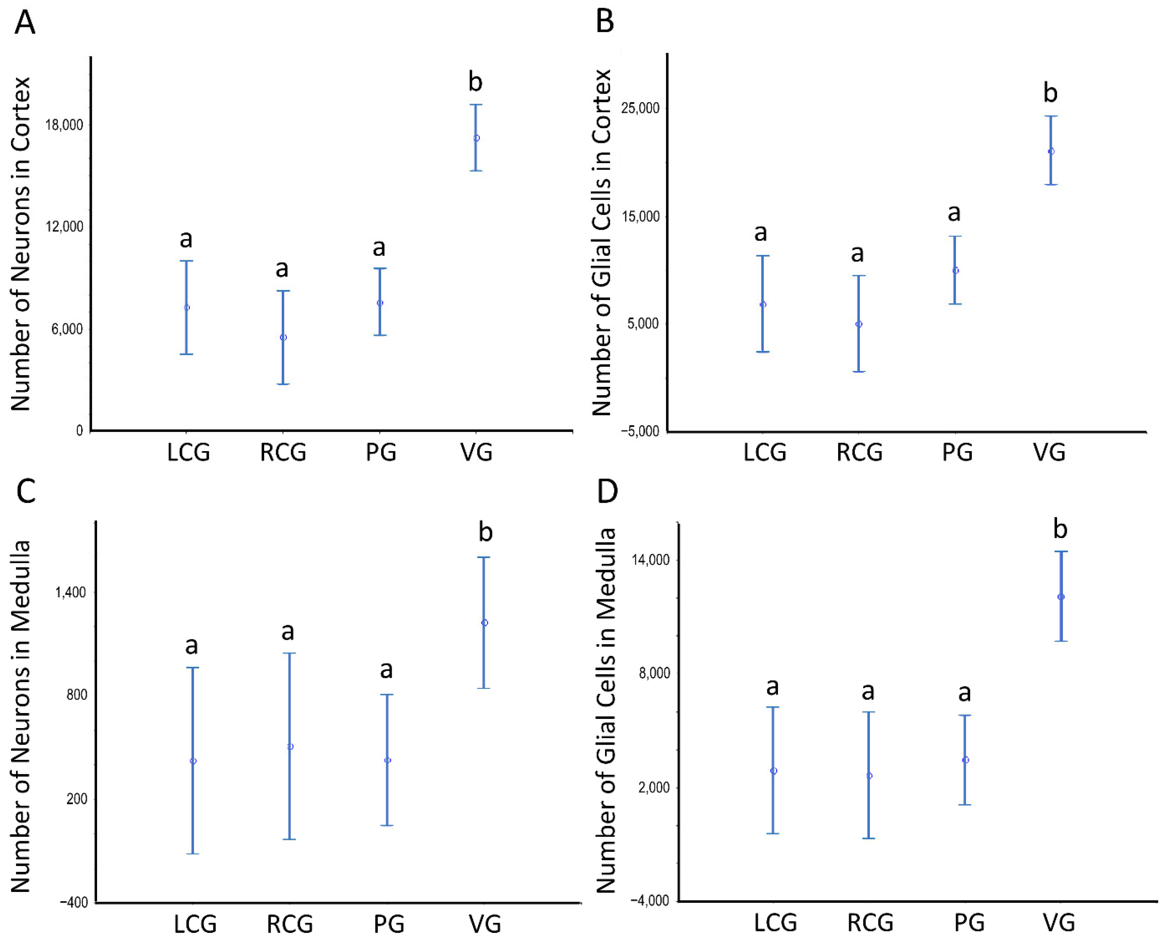
3.4. Quantitative Data—Number of Neural Cells
4. Discussion
5. Conclusions
Supplementary Materials
Author Contributions
Funding
Institutional Review Board Statement
Informed Consent Statement
Data Availability Statement
Acknowledgments
Conflicts of Interest
References
- Cosgrove, K.P.; Mazure, C.M.; Staley, J.K. Evolving knowledge of sex differences in brain structure, function and chemistry. Biol. Psychiatry 2007, 62, 847–855. [Google Scholar] [CrossRef] [PubMed]
- Fowler, C.; Goerzen, D.; Madularum, D.; Devenyim, G.A.; Chakravarty, M.M.; Near, J. Longitudinal characterization of neuroanatomical changes in the Fischer 344 rat brain during normal aging and between sexes. Neurobiol. Aging 2022, 109, 216–228. [Google Scholar] [CrossRef] [PubMed]
- Zhai, G.; Jia, J.; Bereketoglu, C.; Yin, Z.; Pradhan, A. Sex-specific differences in zebrafish brains. Biol. Sex Differ. 2022, 13, 31. [Google Scholar] [CrossRef] [PubMed]
- Arnold, A.P. The gender of the voice within: The neural origin of sex differences in the brain. Curr. Res. Neurobiol. 2003, 13, 759–764. [Google Scholar] [CrossRef]
- Qureshi, I.A.; Mehler, M.F. Genetic and epigenetic underpinnings of sex differences in the brain and in neurological and psychiatric disease susceptibility. Prog. Brain Res. 2010, 186, 77–95. [Google Scholar]
- Weis, S.; Hausmann, M. Sex hormones: Modulators of interhemispheric inhibition in the human brain. Neuroscientist 2010, 16, 132–138. [Google Scholar] [CrossRef]
- Garcia-Segura, L.M.; Balthazart, J. Steroids and neuroprotection: New advances. Front. Neuroendocrinol. 2009, 30, 5–9. [Google Scholar] [CrossRef]
- Gillies, G.E.; Mcarthur, S. Estrogen actions in the brain and the basis for differential action in men and women: A case for sex-specific medicines. Pharmacol. Rev. 2010, 62, 155–198. [Google Scholar] [CrossRef]
- Xin, J.; Zhang, Y.; Tang, Y.; Yang, Y. Brain differences between men and women: Evidence from deep learning. Front. Neurosci. 2019, 13, 185. [Google Scholar] [CrossRef]
- Burgaleta, M.; Head, K.; Álvarez-Linera, J.; Martínez, K.; Escorial, S.; Rchard, H.; Colom, R. Sex differences in brain volume are related to specific skills, not to general intelligence. Intelligence 2012, 40, 60–68. [Google Scholar] [CrossRef]
- Sahin, B.; Aslan, H.; Unal, B.; Canan, S.; Bilgic, S.; Kaplan, S.; Tumkaya, L. Brain volumes of the lamb, rat and bird do not show hemispheric asymmetry: A stereological study. Image Anal. Stereol. 2001, 20, 9–13. [Google Scholar] [CrossRef]
- Oliveira-Pinto, A.V.; Santos, R.M.; Coutinho, R.A.; Oliveira, L.M.; Santos, G.B.; Alho, A.T.; Leite, R.E.; Farfel, J.M.; Suemoto, C.K.; Grinberg, L.T.; et al. Sexual dimorphism in the human olfactory bulb: Females have more neurons and glial cells than males. PLoS ONE 2014, 9, e111733. [Google Scholar] [CrossRef] [PubMed]
- Ritchie, S.J.; Cox, S.R.; Shen, X.; Lombardo, M.V.; Reus, L.M.; Alloza, C.; Harris, M.A.; Alderson, H.L.; Hunter, S.; Neilson, E.; et al. Sex differences in the adult human brain: Evidence from 5216 UK Biobank participants. Cereb. Cortex. 2018, 28, 2959–2975. [Google Scholar] [CrossRef]
- Dickson, B.J. Review: Wired for sex: The neurobiology of Drosophila mating decisions. Science 2008, 322, 904–909. [Google Scholar] [CrossRef] [PubMed]
- Lee, K.; Portman, D.S. Neural sex modifies the function of a C. elegans sensory circuit. Curr. Biol. 2007, 17, 1858–1863. [Google Scholar] [CrossRef] [PubMed]
- Riabinina, O.; Task, D.; Marr, E.; Lin, C.C.; Alford, R.; O’Brochta, D.A.; Potter, C.J. Organisation of olfactory centres in the malaria mosquito Anopheles gambiae. Nat. Commun. 2016, 7, 13010. [Google Scholar] [CrossRef]
- López-Sánchez, J.A.; Maeda-Martínez, A.N.; Croll, R.P.; Acosta-Salmón, H. Monoamine fluctuations during the reproductive cycle of the Pacific lion’s paw scallop Nodipecten subnodosus. Comp. Biochem. Physiol. Part A Mol. Integr. Physiol. 2009, 154, 425–428. [Google Scholar] [CrossRef]
- Mahmud, S.; Mladenov, P.V.; Sheard, P.; Chakraborty, S.C. Characterization of neurons in the visceral ganglia of the green-lipped mussel (Perna canaliculus) using antibodies raised against neuropeptides and neurotransmitters. Bangladesh J. Anim. Sci. 2008, 37, 78–85. [Google Scholar] [CrossRef]
- Tantiwisawaruji, S.; Malhão, F.; Lopes, C.; Silva, A.; Kovitvadhi, U.; Pardal, M.A.; Rocha, M.J.; Rocha, E. Overview of the neurocytology of ganglia and identification of putative serotonin- and dopamine-secreting neurons in the bivalve peppery furrow shell (Scrobicularia plana). J. Shellfish Res. 2017, 36, 567–576. [Google Scholar] [CrossRef]
- Funayama, S.; Matsumoto, T.; Kodera, Y.; Awaji, M. A novel peptide identified from visceral ganglia induces oocyte maturation, spermatozoa active motility, and spawning in the pen shell Atrina pectinata. Biochem. Biophys. Res. Commun. 2022, 598, 9–14. [Google Scholar] [CrossRef]
- Pazos, A.J.; Mathieu, M. Effects of five natural gonadotropin-releasing hormones on cell suspensions of marine bivalve gonad: Stimulation of gonial DNA synthesis. Gen. Comp. Endocrinol. 1999, 113, 112–120. [Google Scholar] [CrossRef] [PubMed]
- Croll, P.R.; Wang, C. Review article: Possible roles of sex steroids in the control of reproduction in bivalve molluscs. Aquaculture. 2007, 272, 76–86. [Google Scholar] [CrossRef]
- Yan, H.; Li, Q.; Liu, W.; Ke, Q.; Yu, R.; Kong, L. Seasonal changes of oestradiol-17β and testosterone concentrations in the gonad of the razor clam Sinonovacula constricta (Lamarck, 1818). J. Molluscan Stud. 2011, 77, 116–122. [Google Scholar] [CrossRef]
- Hallmann, A.; Konieczna, L.; Swiezak, J.; Milczarek, R.; Smolarz, K. Aromatisation of steroids in the bivalve Mytilus trossulus. PeerJ 2019, 7, e6953. [Google Scholar] [CrossRef]
- Wang, C.; Croll, R. Effects of sex steroids on gonadal development and gender determination in the sea scallop, Placopecten magellanicus. Aquaculture 2004, 238, 483–498. [Google Scholar] [CrossRef]
- Swift-Gallant, A.; Niel, L.; Monks, D.A. Turning sex inside-out: Peripheral contributions to sexual differentiation of the central nervous system. Biol. Sex. Differ. 2012, 3, 12. [Google Scholar] [CrossRef]
- Breton, S.; Capt, C.; Guerra, D.; Stewart, D. Sex-determining mechanisms in bivalves. In Transitions Between Sexual Systems; Leonard, J., Ed.; Springer: Cham, Switzerland, 2018; pp. 165–192. [Google Scholar]
- Liu, T.; Li, R.; Liu, L.; Wu, S.; Zhang, L.; Li, Y.; Wei, H.; Shu, Y.; Yang, Y.; Wang, S.; et al. The effect of temperature on gonadal sex differentiation of yesso scallop Patinopecten yessoensis. Front. Cell. Dev. Biol. 2022, 9, 803046. [Google Scholar] [CrossRef] [PubMed]
- Raji, J.I.; Potter, C.J. The number of neurons in Drosophila and mosquito brains. PLoS ONE 2021, 16, e0250381. [Google Scholar] [CrossRef]
- Howard, C.V.; Reed, M.G. Unbiased Stereology. Three-Dimensional Measurement in Microscopy; Bios Scientific Publishers: Oxford, UK, 1998; pp. 1–246. [Google Scholar]
- Matozzo, V.; Gagné, F.; Gabriella, M.M.; Ricciardi, F.; Blaise, C. Vitellogenin as a biomarker of exposure to estrogenic compounds in aquatic invertebrates: A review. Environ. Int. 2005, 34, 531–545. [Google Scholar] [CrossRef] [PubMed]
- Martin, K.; Huggins, T.; King, C.; Carroll, M.A.; Catapane, E.J. The neurotoxic effects of manganese on the dopaminergic innervation of the gill of the bivalve mollusc, Crassostrea virginica. Comp. Biochem. Physiol. C Toxico. Pharmacol. 2008, 148, 152–159. [Google Scholar] [CrossRef]
- Nelson, M.; Huggins, T.; Licorish, R.; Carroll, M.A.; Catapane, E.J. Effects of p-Aminosalicylic acid on the neurotoxicity of manganese on the dopaminergic innervation of the cilia of the lateral cells of the gill of the bivalve mollusc, Crassostrea virginica. Comp. Biochem. Physiol. C Toxicol. Pharmacol. 2010, 151, 264–270. [Google Scholar] [CrossRef] [PubMed]
- Mayhew, T.M.; Lucocq, J.M. From gross anatomy to the nanomorphome: Stereological tools provide a paradigm for advancing research in quantitative morphomics. J. Anat. 2015, 226, 309–321. [Google Scholar] [CrossRef]
- Worrall, C.M.; Widdows, J.; Lowe, D.M. Physiological ecology of three populations of the bivalve Scrobicularia plana. Mar. Ecol. Prog. Ser. 1983, 12, 267–279. [Google Scholar] [CrossRef]
- Chesman, B.S.; Langston, W.J. Intersex in the clam Scrobicularia plana: A sign of endocrine disruption in estuaries? Biol. Lett. 2006, 2, 420–422. [Google Scholar] [CrossRef] [PubMed][Green Version]
- Gomes, T.; Gonzalez-Rey, M.; Bebianno, M.J. Incidence of intersex in male clams Scrobicularia plana in the Guadiana Estuary (Portugal). Ecotoxicology 2009, 18, 1104–1109. [Google Scholar] [CrossRef] [PubMed]
- Petridis, P.; Jha, A.N.; Langston, W.J. Measurements of the genotoxic potential of (xeno-) oestrogens in the bivalve mollusc Scrobicularia plana, using the Comet assay. Aquat. Toxicol. 2009, 94, 8–15. [Google Scholar] [CrossRef]
- Kotsyuba, E.; Kalachev, A.; Kameneva, P.; Dyachuk, V. Distribution of molecules related to neurotransmission in the nervous system of the mussel Crenomytilus grayanus. Front. Neuroanat. 2020, 14, 35. [Google Scholar] [CrossRef]
- Yurchenko, O.V.; Skiteva, O.I.; Voronezhskayam, E.E.; Dyachukm, V.A. Nervous system development in the Pacific oyster, Crassostrea gigas (Mollusca: Bivalvia). Front. Zool. 2018, 15, 10. [Google Scholar] [CrossRef]
- Ahmad, I.; Coelho, J.P.; Mohmood, I.; Pacheco, M.; Santos, M.A.; Duarte, A.C.; Pereira, E. Immunosuppression in the infaunal bivalve Scrobicularia plana environmentally exposed to mercury and association with its accumulation. Chemosphere 2011, 82, 1541–1546. [Google Scholar] [CrossRef]
- Gundersen, H.J.; Jensen, E.B. The efficiency of systematic sampling in stereology and its prediction. J. Microsc. 1987, 147, 229–263. [Google Scholar] [CrossRef]
- Gundersen, H.J. Stereology of arbitrary particles. A review of unbiased number and size estimators and the presentation of some new ones, in memory of William R. Thompson. J. Microsc. 1986, 143, 3–45. [Google Scholar] [CrossRef] [PubMed]
- Dorph-Petersen, K.A.; Nyengaard, J.R.; Gundersen, H.J.G. Tissue shrinkage and unbiased stereological estimation of particle number and size. J. Microsc. 2001, 204, 232–246. [Google Scholar] [CrossRef] [PubMed]
- Von Bartheld, C. Counting particles in tissue sections: Choices of methods and importance of calibration to minimize biases. Histol. Histopathol. 2002, 17, 639–648. [Google Scholar] [PubMed]
- Bertolaccini, L.; Viti, A.; Terzi, A. Are the fallacies of the P value finally ended? J. Thorac. Dis. 2016, 8, 1067–1068. [Google Scholar] [CrossRef] [PubMed][Green Version]
- Wasserstein, R.L.; Lazar, N.A. The ASA’s statement on p-values: Context, process, and purpose. Am. Stat. 2016, 70, 129–133. [Google Scholar] [CrossRef]
- Remacha-Trivino, A.; Borsay-Horowitz, D.; Dungan, C.; Gual-Arnau, X.; GóMez-Leon, J.; Villamil, L.; Gomez-Chiarri, M. Numerical quantification of Perkinsus marinus in the American oyster Crassostrea virginica (GMELIN, 1791) (Mollusca:Bivalvia) by modern stereology. J. Parasitol. 2008, 94, 125–136. [Google Scholar] [CrossRef]
- Mayhew, T.M. Morphomics: An integral part of systems biology of the human placenta. Placenta 2015, 36, 329–340. [Google Scholar] [CrossRef]
- Schmitz, C.; Hof, P.R. Design-based stereology in neuroscience. Neuroscience 2005, 130, 813–831. [Google Scholar] [CrossRef]
- Walløe, S.; Pakkenberg, B.; Fabricius, K. Stereological estimation of total cell numbers in the human cerebral and cerebellar cortex. Front. Hum. Neurosci. 2014, 8, 1–9. [Google Scholar] [CrossRef]
- Siniscalchi, A.; Cavallini, S.; Sonetti, D.; Sbrenna, G.; Capuano, S.; Barbin, L.; Turolla, E.; Rossi, R. Serotonergic neurotransmission in the bivalve Venus verrucosa (Veneridae): A neurochemical and immunohistochemical study of the visceral ganglion and gonads. Mar. Biol. 2004, 144, 1205–1212. [Google Scholar] [CrossRef]
- Gagné, F.; Blaise, C.; Pellerin, J.; André, C. Neuroendocrine disruption in clams during gametogenesis at sites under pollution stress. Mar. Environ. Res. 2007, 64, 87–107. [Google Scholar] [CrossRef] [PubMed]
- Tantiwisawaruji, S.; Kovitvadhi, U.; Pardal, M.A.; Rocha, M.J.; Rocha, E. Qualitative and quantitative insights into the 3D-microanatomy of the nervous ganglia of Scrobicularia plana (Bivalvia, Tellinoidea, Semelidae). Molluscan Res. 2018, 38, 21–28. [Google Scholar] [CrossRef]
- Stefano, G.B.; Zhu, W.; Mantione, K.; Jones, D.; Salamon, E.; Cho, J.J.; Cadet, P. 17-β estradiol down regulates ganglionic microglial cells via nitric oxide release: Presence of an estrogen receptor β transcript. Neuroendocrinol. Lett. 2003, 24, 130–136. [Google Scholar]
- Bicker, G.; Stern, M. Structural and functional plasticity in the regenerating olfactory system of the migratory locust. Front. Physiol. 2020, 11, 608661. [Google Scholar] [CrossRef] [PubMed]
- Bullock, T.H. Mollusca: Pelecypoda and Scaphopoda. In Structure and Function of the Nervous Systems of Invertebrates; Bullock, T.H., Horridge, G.A., Eds.; W. H. Freeman & Co: London, UK, 1965; pp. 1387–1431. [Google Scholar]
- Harrison, W.F.; Kohn, J.A. Microscopic Anatomy of Invertebrates; Wiley-Liss Inc.: New York, NY, USA, 1997; pp. 1–768. [Google Scholar]
- Stefano, G.B. Neurobiology of Mytilus Edulis; Biddles Ltd., Guildford and King’s Lym: Great Britain, UK, 1945; pp. 1–309. [Google Scholar]
- Carroll, M.A.; Catapane, E.J. The nervous system control of lateral ciliary activity of the gill of the bivalve mollusc, Crassostrea Virginica. Comp. Biochem. Physiol. A Mol. Integr. Physiol. 2007, 148, 445–450. [Google Scholar] [CrossRef]
- Wilkens, L.A. Neurobiology and behaviour of the scallop. In Scallops: Biology, Ecology and Aquaculture; Shumway, S.E., Parsons, G.J., Eds.; Elsevier: Amsterdam, The Netherlands, 2006; pp. 317–356. [Google Scholar]
- Mane, U.H.; Rao, K.R.; Muley, S.D.; Vedpathak, A.N. Probable role of nerve ganglia in respiration of the estuarine clam Katelysia opima. Indian J. Comp. Anim. Physiol. 1990, 8, 21–27. [Google Scholar]
- Jadhav, M.L.; Gulave, A.; Bawane, V. Role of cerebral ganglia in regulation of oxygen consumption of freshwater bivalve mollusc, Lamellidens marginalis from Godavari river during summer season. Bio. Disc. 2012, 3, 337–341. [Google Scholar]
- Gosling, E. Marine Bivalve Molluscs, 2nd ed.; Jonh Wiley & Sons, Ltd.: Oxford, UK, 2015; pp. 1–264. [Google Scholar]
- Azevedo, F.A.; Carvalho, L.R.; Grinberg, L.T.; Farfel, J.M.; Ferretti, R.E.; Leite, R.E.; Jacob Filho, W.; Lent, R.; Herculano-Houzel, S. Equal numbers of neuronal and nonneuronal cells make the human brain an isometrically scaled-up primate brain. J. Comp. Neurol. 2009, 513, 532–541. [Google Scholar] [CrossRef]
- Hilgetag, C.C.; Barbas, H. Are there ten times more glia than neurons in the brain? Brain Struct. Funct. 2009, 213, 365–366. [Google Scholar] [CrossRef]
- Pelvig, D.P.; Pakkenberg, H.; Stark, A.K.; Pakkenberg, B. Neocortical glial cell numbers in human brains. Neurobiol. Aging. 2008, 29, 1754–1762. [Google Scholar] [CrossRef]
- Hartline, D.K. The evolutionary origins of glia. Glia 2011, 59, 1215–1236. [Google Scholar] [CrossRef] [PubMed]
- Herculano-Houzel, S. Not all brains are made the same: New views on brain scaling in evolution. Brain Behav. Evol. 2011, 78, 22–36. [Google Scholar] [CrossRef] [PubMed]
- Crook, R.J.; Walters, E.T. Nociceptive behavior and physiology in molluscs: Animal welfare implications. ILAR J. 2011, 52, 185–195. [Google Scholar] [CrossRef] [PubMed]











| Sex Condition | Length (cm) | Height (cm) | Width (cm) | Body Mass (g) | Total Mass (g) |
|---|---|---|---|---|---|
| Males | 3.1 (0.18) | 2.5 (0.13) | 0.9 (0.12) | 1.28 (0.24) | 3.03 (0.29) |
| Females | 3.3 (0.06) | 2.7 (0.09) | 1.1 (0.12) | 1.67 (0.22) | 4.55 (0.26) |
| Undifferentiated | 3.2 (0.13) | 2.4 (0.17) | 1.0 (0.21) | 1.67 (0.53) | 4.57 (0.58) |
| Sex Condition | Cerebral | Pedal | Visceral | |
|---|---|---|---|---|
| Left | Right | |||
| Males | 38.3 × 106 (0.19) | 35.6 × 106 (0.23) | 59.0 × 106 (0.29) | 164.2 × 106 (0.26) |
| Females | 49.8 × 106 (0.23) | 48.3 × 106 (0.29) | 55.8 × 106 (0.12) | 191.7 × 106 (0.32) |
| Undifferentiated | 36.8 × 106 (0.34) | 31.9 × 106(0.42) | 51.6 × 106 (0.48) | 133.0 × 106 (0.32) |
| Sex Condition | Cerebral | Pedal | Visceral | |
|---|---|---|---|---|
| Left | Right | |||
| Males | 64 (0.02) | 63 (0.06) | 59 (0.03) | 57 (0.12) |
| Females | 68 (0.03) | 67 (0.04) | 61 (0.09) | 54 (0.03) |
| Undifferentiated | 69 (0.04) | 68 (0.05) | 62 (0.04) | 57 (0.09) |
| Sex Condition | Cerebral | Pedal | Visceral | |
|---|---|---|---|---|
| Left | Right | |||
| Males | 36 (0.04) | 36 (0.05) | 41 (0.05) | 43 (0.17) |
| Females | 32 (0.06) | 33 (0.08) | 39 (0.13) | 46 (0.04) |
| Undifferentiated | 31 (0.09) | 32 (0.10) | 38 (0.06) | 43 (0.12) |
Publisher’s Note: MDPI stays neutral with regard to jurisdictional claims in published maps and institutional affiliations. |
© 2022 by the authors. Licensee MDPI, Basel, Switzerland. This article is an open access article distributed under the terms and conditions of the Creative Commons Attribution (CC BY) license (https://creativecommons.org/licenses/by/4.0/).
Share and Cite
Tantiwisawaruji, S.; Rocha, M.J.; Silva, A.; Pardal, M.A.; Kovitvadhi, U.; Rocha, E. A Stereological Study of the Three Types of Ganglia of Male, Female, and Undifferentiated Scrobicularia plana (Bivalvia). Animals 2022, 12, 2248. https://doi.org/10.3390/ani12172248
Tantiwisawaruji S, Rocha MJ, Silva A, Pardal MA, Kovitvadhi U, Rocha E. A Stereological Study of the Three Types of Ganglia of Male, Female, and Undifferentiated Scrobicularia plana (Bivalvia). Animals. 2022; 12(17):2248. https://doi.org/10.3390/ani12172248
Chicago/Turabian StyleTantiwisawaruji, Sukanlaya, Maria J. Rocha, Ana Silva, Miguel A. Pardal, Uthaiwan Kovitvadhi, and Eduardo Rocha. 2022. "A Stereological Study of the Three Types of Ganglia of Male, Female, and Undifferentiated Scrobicularia plana (Bivalvia)" Animals 12, no. 17: 2248. https://doi.org/10.3390/ani12172248
APA StyleTantiwisawaruji, S., Rocha, M. J., Silva, A., Pardal, M. A., Kovitvadhi, U., & Rocha, E. (2022). A Stereological Study of the Three Types of Ganglia of Male, Female, and Undifferentiated Scrobicularia plana (Bivalvia). Animals, 12(17), 2248. https://doi.org/10.3390/ani12172248

